Veneers

Lorem ipsum dolor sit amet, consectetur adipiscing elit. Suspendisse varius enim in eros elementum tristique.

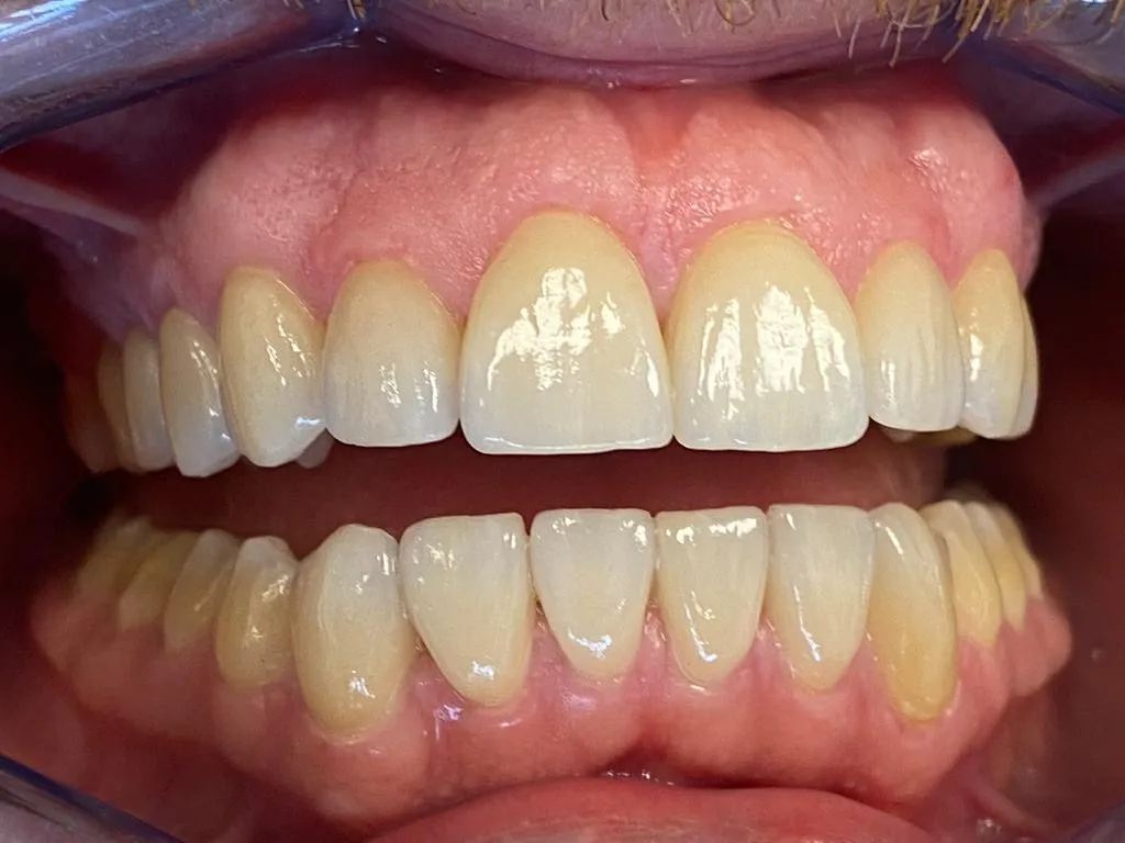
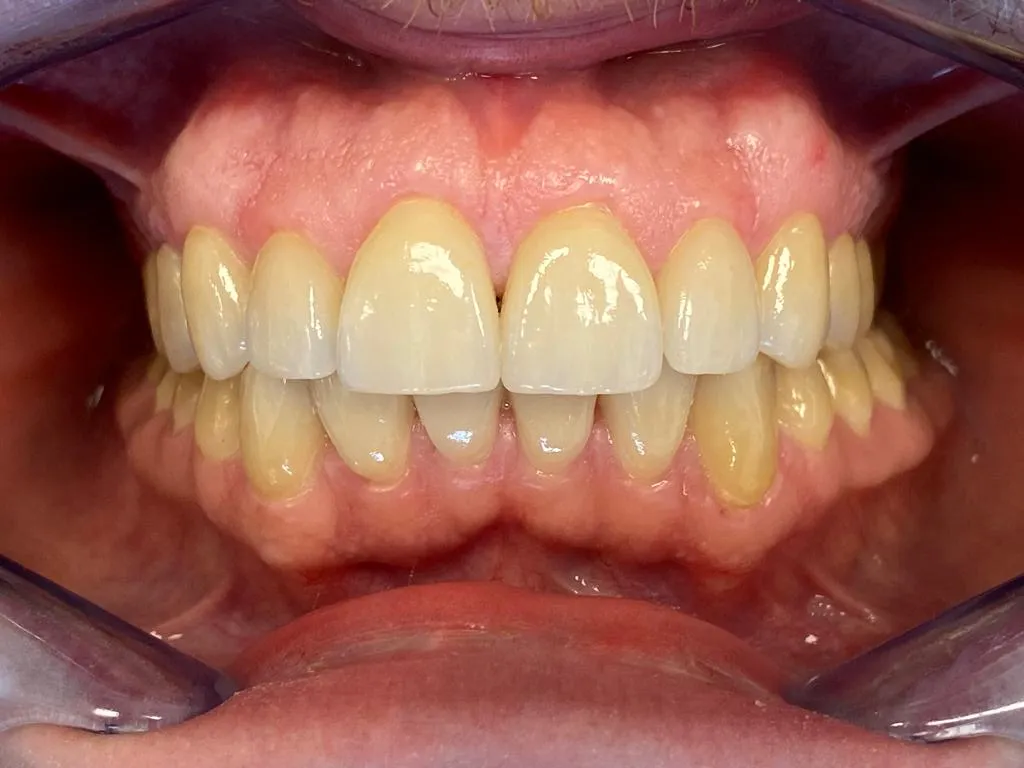
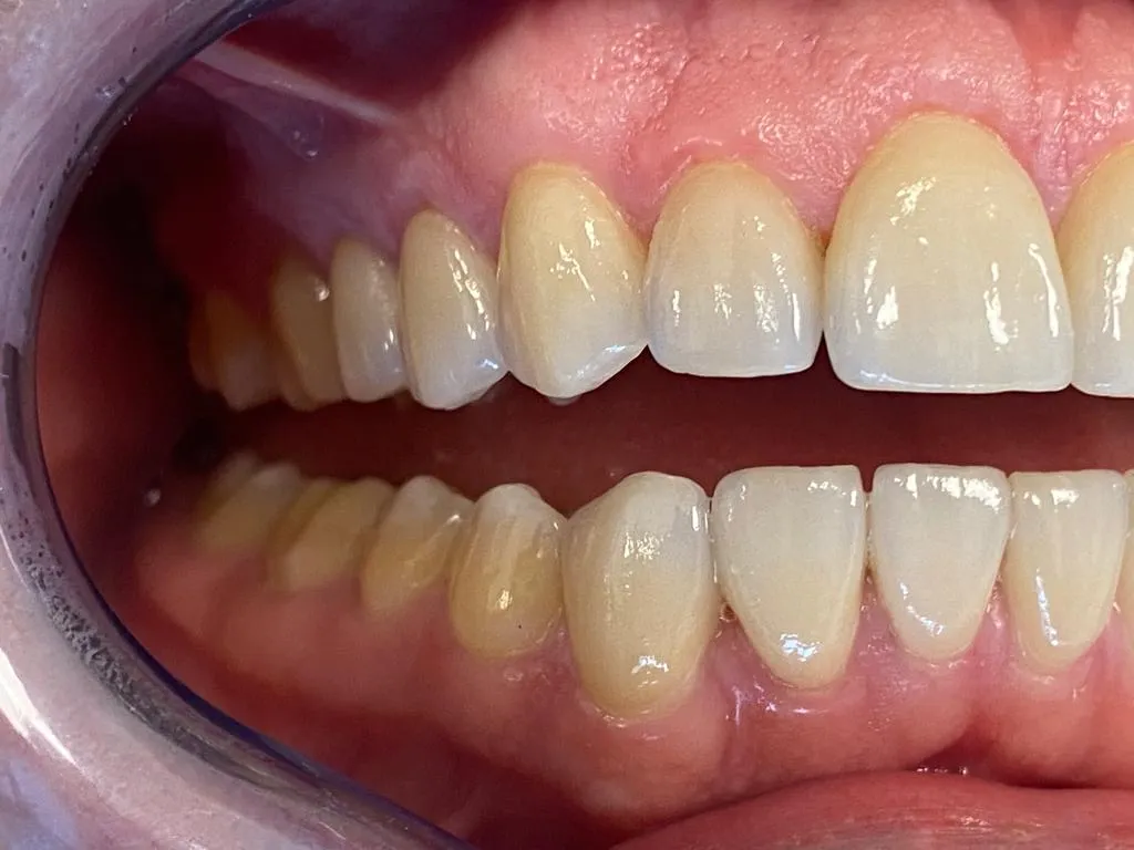
Worum geht es?

In unserer Praxis bieten wir Ihnen hochwertige Veneers, die Ihre Zähne optisch aufwerten und Ihnen ein natürliches Aussehen verleihen. Unsere erfahrenen Zahnärzte arbeiten eng mit Ihnen zusammen, um ein individuelles und auf Ihre Bedürfnisse abgestimmtes Ergebnis zu erzielen. Dank moderner Technologien und Materialien sind Veneers langlebig und pflegeleicht.

Schienen
Phone Icon - Dentist Webflow Template

Erreichen Sie uns noch heute!

Sie möchten Ihren nächsten Termin erfragen? Dann einfach das Formular ausfüllen.

Ihre Anfrage ist durchgegangen! Wir melden uns bald bei Ihnen.
Hoppla, da ist etwas schief gelaufen!
Dentist Webflow Template - Webclip