Ästhetische Zahnheilkunde

Lorem ipsum dolor sit amet, consectetur adipiscing elit. Suspendisse varius enim in eros elementum tristique.

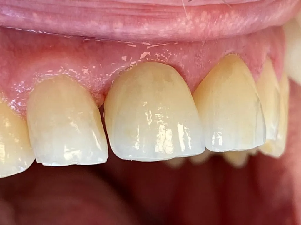
Worum geht es?

Wir bieten Ihnen hochwertige ästhetische Frontzahnrestaurationen mit individueller Farbcharakterisierung. Unsere erfahrenen Zahnärzte arbeiten eng mit Ihnen zusammen, um ein natürliches und harmonisches Ergebnis zu erzielen. Dank modernster Technologien und Materialien, können wir Ihnen ein strahlendes Lächeln zurückgeben.

Füllungstherapie
Ihr Zahn ist uns wichtig! Zahnheilkunde in Eimsbüttel
Weiße Zähne bei Dr. Vellai in Eimsbüttel
Phone Icon - Dentist Webflow Template

Erreichen Sie uns noch heute!

Sie möchten Ihren nächsten Termin erfragen? Dann einfach das Formular ausfüllen.

Ihre Anfrage ist durchgegangen! Wir melden uns bald bei Ihnen.
Hoppla, da ist etwas schief gelaufen!
Dentist Webflow Template - Webclip